Как доказать диагноз
Проверку плоскостопия в военкомате проводят с использованием плантографии, определяя наличие патологии на глаз. На стопу исследуемого наносится слой йода или крема, после призывник наступает меченой стопой на чистый лист бумаги. След позволяет определить степень плоскостопия.
В военкомате плоскостопие проверяют рукой. Призывник должен стоять ровно, лицом вперед. Член комиссии подсовывает руку под стопу со стороны внутренней приподнятой части. Если стопа здорова, суставы руки заходят на 1,5 фаланги под стопу. В обратном случае (рука заходит меньше или абсолютно не заходит), диагностируется плоскостопие и призывник направляется на рентгенографию для подтверждения диагноза. Процедура проводится в положении стоя, при необходимости назначается с целью обнаружения или опровержения других сопутствующих патологических отклонений.
Прохождение медицинского обследования в военкомате
Чтобы попасть на службу в войска армии необходимо пройти медицинское обследование, где и будет выявлено, есть ли плоскостопие или другие заболевания, с которыми призывник к службе негоден. Чтоб поставить достоверный диагноз, врач направляет юношу на рентген.
Рентген снимки делаются в стоячем положении, когда нагрузка на стопы максимальна, в поперечном ракурсе и продольном. На снимках четко видно есть заболевание или нет. Так же необходима компьютерная томография сустава подтаранного и описание отклонений первого пальца и плюсны (часть стопы под пальцами). При положительном результате врач определяет разновидность плоскостопия и его степень.

Помимо этого в военкомате имеется своя медкомиссия, состоящая из квалифицированных врачей, осматривающая призывников.
Каждый из них осматривает молодых призывников, ставит свою оценку состояния здоровья каждого из юношей, рассматривает заключения с подписям, печатями врачей из медицинских учреждений и присваивает соответствующую степень годности к службе в армии. Всего существует пять категорий:
- «А» – годен к службе.
- «Б» – годен с некоторыми ограничениями.
- «В» – освобожден от призыва.
- «Г» – не годен к службе на определенный срок.
- «Д» – не годен.
При условии, что медицинская комиссия военкомата не смогла определить степень пригодности призывника в армии, он направляется на дополнительную мед. комиссию. Там происходит повторное обследование призывника, где будет вынесено решение, направить человека на лечение, либо он понесет военные обязанности. Документ обязательно должен быть заверен подписью глав. врача, печатью медицинского учреждения.

Если молодой человек получил отсрочку от службы в армии во время прохождения медицинской комиссии военкомата по состоянию здоровья, то по окончанию этого срока, либо к периоду следующего призыва, он должен пройти переосвидетельствование (контрольный осмотр). Медосвидетельствование осуществляется призывной комиссией. Так же эта комиссия может провести контрольное медосведетельствование тех, кто разделяет ранее вынесенный результат медицинского обследования в военкомате.
Как определяют плоскостопие
Плоскостопие определяют по характерным внешним признакам и по симптомам предполагаемого патологического процесса. Для врача обнаружить плоскостопие — нетрудно. Внешние признаки таковы:
- Изменение формы стопы. Она выглядит неестественно расплющенной.
- Видимые деформации первого и/или второго пальцев ног.
- Изменение анатомического положения ступни, когда молодой человек стоит. Они обращены вовнутрь или вовне. Зависит от формы плоскостопия. Развивается так называемая «косолапость».
Симптоматика типичная. Интенсивность и состав клинической картины зависит от силы заболевания. Его запущенности. Если говорить подробнее, жалобы будут такими:
- Болевой синдром в состоянии полного покоя. Усиливается при физических нагрузках, поднятии тяжестей.
- Повышенная утомляемость ступней. Даже в отсутствии адекватной физической нагрузки, стимуляции.
- Тяжесть в области нижних конечностей. Развивается спонтанно, усиливается в конце дня или во второй половине суток. Ближе к утру симптом ослабевает или сходит на нет.
- Неудобства при перемещении. Нога не хочет «вставать» как надо. Ощущается выраженный дискомфорт.
- Косвенный признак — это быстрый износ обуви. Также возникают проблемы с выбором нормальной обуви, поскольку требуются либо специальные ботинки, либо ортопедические стельки.
- Боли в спине и пояснице. Если процесс достаточно развит. Возможно развитие воспалений, грыжевых образований.
- Непереносимость физических нагрузок.
На месте врачи военно-врачебной комиссии видят только самые грубые изменения в организме молодого человека. В опорно-двигательном аппарате. Потому не стоит надеяться на авось. Регистрируйте и фиксируйте проблемы со здоровьем заблаговременно. У ортопеда и/или травматолога. Затем несите с собой готовую документацию, которая станет неопровержимым доказательством состояния.
Как ставится диагноз
Для установления пригодности к армейской службе призывники подвергаются медицинскому осмотру в военкомате. Перед его посещением рекомендуется иметь при себе все документы, подтверждающие факт плоскостопия и патологические изменения, вызванные болезнью. Диагноз устанавливается ортопедом или подиатром – специалистами по костно-хрящевым изменениям. Степень болезни определяется методами:
- плантографии (экспресс-метод) – по отпечатку-следу, снятому на лист бумаги со стопы, смазанной кремом;
- подометрия (метод Фридлянда) – по измеренным параметрам стопы с расчетом коэффициента;
- рентгенография – точный метод установления формы, степени запущенности заболевания;
- компьютерная томография – выявление осложнений, костно-хрящевых изменений.

Для постановки диагноза используется один или несколько методов. Результаты обследования с заключением врача-ортопеда прилагаются к документам призывника для военкомата. Это позволяет военной комиссии объективно оценить состояние здоровья юноши и по степени болезни оценить его годность к службе.
Плоскостопие 4 степени
Плоскостопие и артроз суставов стопы. Армия.

Служба в армии влечет за собой такие нагрузки как дежурство, интенсивные физические тренировки, маршировка, бег и т.п. В связи с этим, стоит изучить информацию о том, в каких случаях разрешена служба в армии при плоскостопии и артрозе, а в каких нет. Артроз представляет собой разрушение хрящевой ткани суставов ног. Различают 3 стадии данного заболевания:
- первая стадия – разрушения ткани незначительные. Наросты только начинают появляться и они не видны, даже во время проведения обследования. Болевых синдромов нет. Только иногда, после интенсивной физической нагрузки, больное место подает сигналы. Такую болезнь люди обычно не замечают, поэтому она крайне редкая;
- вторая стадия – разрушение ткани увеличивается, щель сужается примерно в два раза. Наросты достигают размеров до 1 мм, становятся видны при обследовании. Концы костей деформируются, появляются сильные болезненные ощущения, иногда возникает воспаление. Человеку с такой стадией сложно передвигаться, если находиться в одном положении может возникать острая боль;
- третья стадия – здесь щель между суставами полностью затянута, кости изменяют свой вид, происходят необратимые далее процессы. На рентген – снимках видны крупные наросты.
Степени плоскостопия
Вначале укажем, что всю необходимую информацию, описанную нами ниже, вы можете прочесть в Постановлении Правительства РФ от 04.07.2013 N 565 (ред. от 30.03.2017) «Об утверждении Положения о военно-врачебной экспертизе», только уточните актуальный год редакции – 2018.

Плоскостопие первой степени
Данную степень военно-врачебная комиссия диагностирует при наличии у призывника при продольной форме плоскостопия – угол не более 140 градусов наклона, при поперечном – не более 12 градусов.
Расстрою, а может напротив обрадую, молодых призывников сразу – данная степень плоскостопия не препятствует не только прохождению службы, но и не мешает причислить призывника к «А» категории годности. Все потому, что обладатели указанной степени плоскостопия зачастую даже не подозревают о наличии деформации стопы. Если человек может заниматься любой деятельностью без ограничения, выполнять любые физические нагрузки и увлекаться спортом наравне со всеми, было бы странным, если бы такого юношу освободили бы от воинской повинности.
Плоскостопие второй степени
Военно-врачебная комиссия диагностирует вторую степень при наличии у призывника при продольной форме плоскостопия – угол не более 155 градусов наклона, при поперечном – не более 15 градусов.
Вокруг второй степени плоскостопия происходит весь ажиотаж. Действительно, раньше с данной степенью в войска не призывали, а давали категорию ограниченно годного. Однако не далее, чем два года назад военные поменяли расклад. Вряд ли граждане со встрой степенью плоскостопия стали меньше чувствовать дискомфорт при маршах, скорее всего сказалось обстоятельство демографической ямы девяностых годов, отчего сегодня обеспечить наполняемость воинских частей стало несравнимо труднее.
Юноше с выявленной второй степенью плоскостопия не стоит рассчитывать на элитные рода войск, но службы в рядовых частях – в мотострелках, артиллерии, национальной гвардии и подобных избежать не получиться точно.
С подходом к призывному возрасту детей нулевых ситуация с призывом улучшится, возможно изменится и отношение ко второй степени, но далеко не факт. Остается посоветовать либо смирится, либо тянуть время в ожидании положительных изменений в расписании болезней. Может быть к тому времени призывная служба вовсе будет отменена, что постоянно предвещают.
Плоскостопие третьей и четвертой степеней
С данными степенями все остается без изменений – брать в армию не будут и ближайшие годы не собираются. Служить с нарушениями стоп такого порядка физические невозможно. Поэтому в мирное время им в войска путь заказан. Можете смело приходить в районный военкомат, где вам поставят категорию годности «В» — ограниченно годен.
Полезная публикация? Проголосуй!
Освобождение от армии по плоскостопию
Призывная комиссия в военкомате при определении годности к армейской службе, берет во внимание болезни призывника, протекающие в хронической форме
Не менее важно учитывать и временные патологические состояния в организме, которые не позволят молодому человеку достойно переносить нагрузки, возложенные на военнослужащих. В том случае, если призывник не соглашается с заключением медицинской комиссии, обследующей юношей в военкомате, его могут направить на дополнительную обследование
При повторном обследовании определяется дальнейшая судьба призывника: либо его отправят служить, либо направят на лечение. Документы, позволяющие получить отсрочку, должны быть составлены в соответствии с нормой, т.е. быть заверенными подписью главврача и скреплены печатью медучреждения
В том случае, если призывник не соглашается с заключением медицинской комиссии, обследующей юношей в военкомате, его могут направить на дополнительную обследование. При повторном обследовании определяется дальнейшая судьба призывника: либо его отправят служить, либо направят на лечение. Документы, позволяющие получить отсрочку, должны быть составлены в соответствии с нормой, т.е. быть заверенными подписью главврача и скреплены печатью медучреждения.

При получении призывником освобождения в виде отсрочки от службы при прохождении комиссии в военкомате в связи с плоскостопием, по окончании ее сроков или в момент последующего призыва на военную службу, юноша обязан пройти повторное освидетельствование в виде контрольного осмотра. Данное обследование производят все те же члены призывной комиссии. Этой же комиссией может проводиться освидетельствование ранее вынесенных решений, полученных в результате обследования призывными комиссиями.
Призывники, получившие отсрочку или освобожденные от службы, не должны воспринимать это с особой радостью. Если уж медицинская комиссия решила, что у молодого человека серьезные проблемы со здоровьем, не позволяющими ему полноценно участвовать в армейской жизни и переносить ее тяготы, то не обращаясь к врачам и оставив плоскостопие без должного лечения, скорее всего, можно ожидать уже необратимых последствий. При отсутствии терапевтической помощи и правил коррекции, стопы начинают изменять свое строение и уплощаться. В результате при ходьбе возникает нестерпимая боль, часто ограничивая возможность самостоятельного передвижения.
Возможные проблемы при прохождении комиссии
Молодые люди с «непризывной» степенью плоскостопия обязательно отправляются медкомиссией на дополнительное обследование. Основным методом его проведения является рентгенография. Обычно снимки делают в двух проекциях под нагрузкой. Затем по ним измеряется угол продольного свода стопы. У здорового человека его значение не превышает 130 градусов. При плоскостопии первой степени он составляет 131-140 градусов, второй – 141-155 градусов, третьей – более 155 градусов. С этим показателем связано несколько нюансов, которые нередко определяют «окончательную» категорию годности призывника:
- Данный угол может меняться даже на протяжении одного дня. Например, вечером он обычно больше, чем утром, сразу после сна. Увеличивает градус и ношение неудобной обуви;
- Далеко не все медицинские учреждения имеют нормальный рентгеновский аппарат. Из-за этого качество изображения может быть невысоким, а градусы высчитаны неправильно;
- Врачи иногда расчерчивают снимки и считают градусы неправильно. Из-за этого 157 градусов могут уменьшиться до 152 градуса, и превратить законную «непризывную» категорию «В» в «ограниченную» «Б»;
- Рентгенография с нагрузкой смещает центр тяжести, уменьшая степень плоскостопия.
Призывникам иногда отказываются давать категорию «В» даже при третьей степени плоскостопия, если в медицинских документах отсутствуют записи о жалобах на боли в стопах. Считается, что запущенные стадии деформации обязательно должны сопровождаться этими проявлениями, а если их нет – значит, заболевание не настолько и серьезно.


Таблица для определения степени заболевания
Призывники должны четко понимать, что медкомиссия не ставит диагнозов и не изучает здоровье военнообязанных, а лишь определяет, насколько молодые люди подходят для службы в армии. Причем делает она это, опираясь, главным образом, на информацию, которую сообщит сам призывник, и на документы, предоставленные ей. Поэтому перед визитом в военкомат следует хорошо подготовиться: собрать необходимые медицинские справки, выписки, результаты анализов, при необходимости пройти новое обследование, получить консультацию юриста. На комиссии следует сразу заявить о своем диагнозе и, если будет нужно, жестко отстаивать его.
Как пройти диагностику для предоставления в военкомат?
Перед тем как молодого человека направят в армию для прохождения там срочной службы, ему предстоит пройти медицинское обследование, способное определить степень его годности. Задача комиссии выявить наличие плоскостопия или других болезней, которые могут послужить причиной отсрочки от призыва, а если они являются хроническими и неизлечимыми до конца, то и подтвердить негодность призывника к прохождению службы. С этой целью врач, присутствующий на призывной комиссии, направляет юношу для диагностики в государственную клинику и на прохождения там рентгена.
Исследование состояния стоп проводят при максимальной нагрузке в положении стоя, а также в продольном и поперечном ракурсе. Полученные изображения позволяют четко определить наличие отклонений в состоянии стоп или их отсутствие.
Для подтверждения окончательного диагноза и определения степени тяжести патологических изменений в стопах, вызванных развитием плоскостопия, может потребоваться дополнительное обследование с использованием компьютерной томографии. При положительном результате наличия отклонений от нормы в подтаранном суставе, первом пальце и части стопы под пальцами, специалистом определяется степень плоскостопия и его разновидность.

В дальнейшем врач-ортопед выносит свое заключение о степени тяжести болезни, а военком, являясь председателем призывной комиссии по долгу службы, определяет возможность дальнейшего прохождения службы или освобождения от нее.
Квалифицированные специалисты в составе призывной комиссии осматривает призывников, оценивает их здоровье в соответствии со своей узкой специализацией и на основании всех полученных заключений, которые могут быть представлены из различных медицинских учреждений, присваивает призывнику категорию годности к службе. Такие категории как А, соответствуют годности в любых видах войск, Б – годен с ограничениями – являются показаниями к службе. С категорией В призывники освобождаются от призыва, с категорией Г – считается негодным на определенный срок с дальнейшим подтверждением. Те же призывники, кого причислили к категории Д становятся полностью негодными к армейской службе без последующего подтверждения.
Плоскостопие 1 степени берут ли в армию
Почему с плоскостопием не берут в армию
На самом деле, даже с 1 степенью заболевания следует максимально ограничивать физические нагрузки на больные ноги, носить обувь исключительно с ортопедическими стельками, делать специальную лечебную гимнастику и массаж, иначе заболевание будет прогрессировать.
Если при данной степени в армию еще берут, хотя это может навредить, на более поздних стадиях служба может стать опасной для здоровья.
Причины плоскостопия
Плоскостопие может развиться у любого человека независимо от возраста. Дети могут иметь врожденное заболевание, а многие взрослые приобретают этот недуг.
Плоскостопие может развиться под влиянием некоторых факторов:
- наследственность – слабые мышцы и связки стоп;
- лишний вес;
- тяжелая работа, связанная с переносом тяжестей;
- неправильная обувь;
- наличие натоптышей или пяточной шпоры.
Виды деформации и ее степени
В медицинской практике выделяют несколько видов плоскостопия. По своей природе искажение стопы может быть:
- продольным;
- поперечным;
- комбинированным.
Рассмотрим каждый из них подробнее.
1. Продольное плоскостопие.
Берут ли в армию с таким видом болезни? С этим вопросом стоит разобраться подробнее. При такой форме патологии стопа соприкасается с полом практически всей своей поверхностью, не образуя характерного изгиба на внутренней стороне.
При этом длина ее увеличивается. При наличии такого вида плоскостопия ношение обычной обуви противопоказано.
3. Комбинированное плоскостопие. Этот вид недуга встречается реже первых двух, характеризуется тем, что продольный и поперечный своды сплющиваются одновременно.
Симптомы
Главными симптомами плоскостопия являются:
- стаптывание обуви во внутреннюю сторону;
- во время ходьбы отмечается быстрая утомляемость ног;
- по завершении дня ощущение усталости, тяжести и боли в ногах, а также наличие судорог;
- у стопы изменяется форма, она как бы разрастается вширь, это заметно по размеру обуви;
- стопа изменилась в размерах и не помещается в обувь по ширине.
Такая симптоматика может свидетельствовать о наличии иных недугов, но при схожих симптомах все же следует обратиться к ортопеду.
Как проводится диагностика
Специалисты в военкомате могут использовать старый метод для определения плоскостопия – на стопу наносят жирный крем и призванный юноша встает на листок бумаги. Такой способ позволяет быстро, «на глаз» определить степень деформации.
Среди современных методов определения степени плоскостопия – рентгенография, компьютерная томография. Если плоскостопие 3 степени, то перед армией рентген необходим – снимок вшивается в дело. В том случае, если плоскостопие первой степени и рентген это подтверждает, годность не вызывает сомнений.
Существует плантография – процедура, с помощью которой можно сделать отпечаток стопы на специальном аппарате. Прибор покажет форму стопы, позволит врачу увидеть, как распределяется давление под стопами.
Как лечить плоскостопие в армии
Зачастую плоскостопие у человека является хроническим. Однако предпринимать меры по лечению заболевания все же нужно.
Обычно это различные физические процедуры, лекарственные мази и кремы, снимающие болевые симптомы. Не стоит забывать о тяжести течения такого недуга, как плоскостопие 3 степени.
Берут ли в армию с таким диагнозом? На этот вопрос каждый ортопед ответит отрицательно.
В зависимости от вида и степени плоскостопия назначают:
- массаж;
- мануальную терапию;
- лечебную физкультуру;
- супинаторы и ортопедические стельки в обувь.
При диагностировании плоскостопия I степени необходимо пересмотреть образ жизни. Сбалансированно питаться и отказаться от вредных привычек. Заниматься ежедневными физическими упражнениями, рекомендованными врачом.
Следует посещать санаторно-курортные зоны для лечения плоскостопия грязями и минеральными водами.
Бесспорно, главным методом остановки прогрессирования плоскостопия является ношение ортопедической обуви на постоянной основе.
Возьмут ли с плоскостопием, причины возникновения
Причины развития касаются неадекватного распределения нагрузки на опорно-двигательный аппарат. В основном речь идет об ортопедических болезнях, но не только. Примерный перечень причин:
Повышенная масса тела. Чем больше вес человека, тем выше вероятность плоскостопия. Основная функция стопы — амортизировать, то есть гасить механические волны при ходьбе. Нагрузка на ноги растет по мере увеличения массы тела. Потому риски больше примерно в 2-3 раза по сравнению со здоровыми людьми. В молодом возрасте вероятность расстройства ниже на 15-20%. Но она все равно есть.
Перенесенные травмы. Переломы, частичные переломы (трещины), ушибы, вывихи и смещения костей, суставов. Перегрузки, которые провоцируют постоянное воспаление. Все это факторы потенциально способные спровоцировать плоскостопие. В перспективе нескольких лет от перенесенного острого состояния.
Неудобная обувь. Слишком большая, неадекватно малого размера, давящая, на каблуке и так далее. Поскольку нагрузка на ступню опять же распределяется неверно. Страдает еще и позвоночник. Потому можно ожидать комплексных патологий. Например, плоскостопие + грыжи или плоскостопие + ущемление нервных волокон на уровне поясницы (ишиас).
Слабость мышечного аппарата на местном уровне. В результате слабой физической нагрузки. Как правило, развивается при гиподинамии или вынужденном ограничении двигательной активности. Например, на фоне иммобилизации. Когда человек вынужденно лежит в постели
Потому во время реабилитации так важно наращивать физическую активность постепенно. Иначе возможны нарушения структурного рода.
Воспалительные процессы в суставах
В основном — артрит ревматоидного происхождения. Псориатические формы. Возможны дистрофические, дегенеративные состояния — артрозы, которые рушат суставы.
Применение некоторых лекарственных препаратов. Глюкокортикоидов, противовоспалительных нестероидного происхождения. Поскольку они способны снижать прочность костей, вызывать их быстрое стирание. Результат — поражение опорно-двигательного аппарата. В лучшем случае — только стопы и лодыжки.
Причины оценивают в системе. На основе выводов говорят о той или иной вероятности дальнейшего прогрессирования процесса.
ПЛОСКОСТОПИЕ И АРМИЯ: ДИАГНОСТИКА ДЛЯ ВОЕНКОМАТА
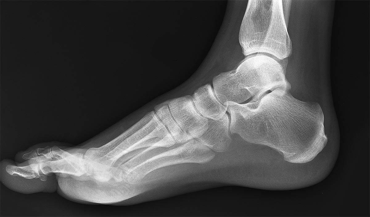
Существуют такие виды плоскостопия как продольное, поперечное и комбинированное. Продольное определяется на основании снимка стоп в боковой проекции. Поперечное определяется на основании снимка стоп в прямой проекции. Комбинированное сочетает в себе продольное и поперечное. После проведения рентгеновского исследования стоп врач-рентгенолог расчерчивает рентгеновский снимок. На основании расчерченного рентгеновского снимка врач-рентгенолог измеряет высоту свода стопы и измеряет угол Белера, затем определяется точная степень заболевания.На рентгенограммах путем построения треугольника определяется угол продольного свода и высота свода. При прохождении медицинской комиссии следует озвучить жалобы врачу-хирургу и представить медицинские документы, в которых указано о наличии выраженной степени плоскостопия. Врач должен направить молодого человека на дополнительное медицинское обследование по акту от военкомата. Точную степень заболевания определяют по рентгенографии стоп под нагрузкой в прямой и боковой проекциях.
При проведении обследования от военкомата случается, что диагностика может не подтвердить непризывные градусы для этого заболевания. Чаще всего с такой проблемой сталкиваются молодые люди с пограничными градусами: 155°-158°. Из-за погрешности измерения или неправильно расчерченного угла свода стопы их градус может понизиться до 153°-154°. А также с такой проблемой могут столкнуться призывники у которых плоскостопие 3 степени, когда врач решает каким-либо образом занизить диагноз до второй.
С каким плоскостопием не берут в армию
Несмотря на то, что излишние нагрузки и ношение неправильной обуви, не соответствующей всем ортопедическим стандартам, может существенно навредить человеку с деформацией стопы, с некоторыми разновидностями заболевания в армии все же придется служить.
Всего существует несколько степеней данного заболевания, в зависимости от степени и патологий, развившихся вследствие деформации свода стопы, выставляется категория годности:
- При плоскостопии 1 степени призывники обычно получают категорию «годен» без каких-либо ограничений. Первая степень данного заболевания редко имеет тяжелые проявления, зачастую сам больной списывает боль и тяжесть в ногах после физических нагрузок на сильную усталость.
- При плоскостопии 2 степени человека не призывают на службу, если деформация свода стопы провоцирует развитие других патологий, например, артрита, остеохондроза поясничного отдела позвоночника и других. При этом молодой человек получает категорию «негоден в мирное время» или «ограничено годен». Если данная степень деформации ничем не осложнена, призывника ждет служба в армии.
- При плоскостопии 3 степени призывники обычно получают категорию «негоден», на данной стадии заболевания практически всегда встречаются различные патологии. Кроме того, такие больные часто нуждаются в операции, чтобы исправить деформацию.
Продольное плоскостопие или поперечное плоскостопие выявлено у призывника, обычно роли не играет
Главное, на что обращают внимание призывные комиссии, — наличие осложнений, связанных с деформацией стопы. Поэтому при прохождении комиссии следует указывать именно на развившиеся патологии и нарушения в нормальном функционировании опорно-двигательного аппарата

























































